miércoles, 5 de noviembre de 2025

  Página Inicial
Prevención del maltrato infantil

Abuso físico (2/30)
  Ver ampliación  
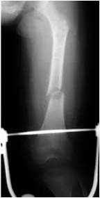
Fractura de la diáfisis de los huesos largos
     Anterior   Siguiente   
Niño de 5 años. El novio de la madre confesó haberlo lanzado contra un televisor
: Editora principal, Especialista de II grado en Medicina General Integral, MSc. Atención integral al niño. | Dpto. de Postgrado, Facultad de Ciencias Médicas “10 de Octubre” - MINSAP | Josefina No.112 e/ Revolución y Gelabert 10 de Octubre, Ciudad de La Habana, 10700, Cuba | Telefs: (537) 648-7154. Horario de atención: 8:30 a.m. a 4:30 p.m., de Lunes a Viernes
Políticas del Portal. Los contenidos que se encuentran en Infomed están dirigidos fundamentalmente a profesionales de la salud. La información que suministramos no debe ser utilizada, bajo ninguna circunstancia, como base para realizar diagnósticos médicos, procedimientos clínicos, quirúrgicos o análisis de laboratorio, ni para la prescripción de tratamientos o medicamentos, sin previa orientación médica.

Nosotros suscribimos Los Principios del código HONcode de la Fundación Salud en la Red Nosotros suscribimos los Principios del código HONcode.
Compruébelo aquí.
Webs Médicas de Calidad Contenido Digital Cubano 2005 Premio Stockholm Challenge 2002