sábado, 24 de enero de 2026  
Histología
Histología
Portal de Infomed
  Página Inicial
Histología

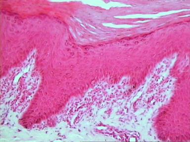
Laminario virtual III. Tejido conjuntivo general (3/30)
  Ver ampliación  
Piel gruesa
     Anterior   Siguiente   
: Editora Principal, Profesor Principal de Histología del ISCM Habana, Profesor Auxiliar de Histología | Facultad de Medicina "Victoria de Girón" | Calle 35 y Avenida 146. Playa, Ciudad de La Habana, 11300, Cuba | Teléfs.: (537) 2084686 , Horario de atención: 8:30 a.m. a 12:00 p.m., de Lunes a Viernes
Políticas del Portal. Los contenidos que se encuentran en Infomed están dirigidos fundamentalmente a profesionales de la salud. La información que suministramos no debe ser utilizada, bajo ninguna circunstancia, como base para realizar diagnósticos médicos, procedimientos clínicos, quirúrgicos o análisis de laboratorio, ni para la prescripción de tratamientos o medicamentos, sin previa orientación médica.

Nosotros suscribimos Los Principios del código HONcode de la Fundación Salud en la Red Nosotros suscribimos los Principios del código HONcode.
Compruébelo aquí.
Webs Médicas de Calidad Contenido Digital Cubano 2005 Premio Stockholm Challenge 2002